Мальчик глотнул средство для чистки жира: во Львове 2 года спасали ребенка (фото)

Ребенок не мог самостоятельно есть и находился в тяжелом состоянии.

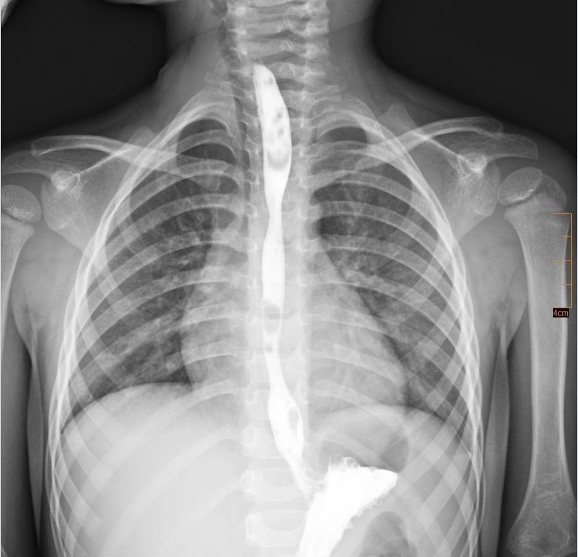
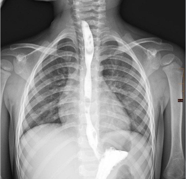
Рентгенобследование пищевода после выздоровления мальчика и анестезиолог Вера Приймакова

Рентгенобследование пищевода после выздоровления мальчика и анестезиолог Вера Приймакова

Трехлетний мальчик случайно глотнул средство для чистки жира, что привело к ожогу и критическому сужению пищевода. В течение двух лет команда львовских хирургов боролась за то, чтобы малыш снова мог есть самостоятельно.

Об этом сообщил «Центр детской медицины. больница „Охматдет“.

Команда торакальных хирургов «Центра детской медицины» спасла трехлетнего ребенка, который случайно проглотил агрессивное химическое вещество и получил тяжелый ожог пищевода. Лечение длилось около двух лет. Как выяснилось, малыш выпил средство для очистки бытовой техники от жира.

После отравления мальчика в крайне тяжелом состоянии доставили в больницу: он не мог самостоятельно есть, страдал от сильной боли, рвоты и постоянного слюнотечения. Малыша срочно госпитализировали в реанимацию.

Из-за серьезного поражения пищевода и невозможности нормального питания врачи провели операцию — установили гастростому. Это позволило обеспечить ребенку полноценное питание, не нагружая поврежденный орган, и стабилизировать его состояние.

Со временем у мальчика сформировался критический стеноз — резкое сужение пищевода, что полностью сделало невозможным прием пищи через рот.

После консультаций мультидисциплинарная команда решила провести серию малоинвазивных процедур — баллонных дилатаций, во время которых суженный участок постепенно расширяли эндоскопически, без разрезов.

«Это была сложная, длительная и поэтапная работа, но благодаря слаженным действиям команды нам удалось избежать большой травматической операции», — отметил руководитель Клиники торакальной хирургии и реконструктивной урологии у детей больницы «Охматдет» «Центра детской медицины» Олег Ленив.

Торакальный хирург Олег Ленив

Сейчас маленький пациент уже ест самостоятельно, хорошо развивается, чувствует себя удовлетворительно и ежедневно радует врачей улыбкой.

К лечению были привлечены торакальные хирурги, анестезиологи, рентгенологи и медсестры, которые постоянно наблюдали за состоянием мальчика.

Рентгенобследование пищевода после выздоровления мальчика

Анестезиолог Вера Приймакова

Медики также обратились к родителям с просьбой быть особенно внимательными: хранить бытовую химию в недоступных для детей местах и немедленно обращаться в больницу в случае проглатывания опасных веществ или посторонних предметов.

К слову, во Львове школьник во время урока случайно вдохнул колпачок от ручки, который намертво застрял в бронхе. Из-за сильного отека и гладкой поверхности пластика врачи не смогли достать его эндоскопически в течение 4 часов, поэтому были вынуждены провести сложную открытую операцию на грудной клетке. Мальчика спасли.


Следующая публикация

Я разрешаю TSN.UA использовать файлы cookie