У Львові медики видалили небезпечну пухлину з мозку 2-місячного немовляти — деталі

У Львові нейрохірурги врятували 2-місячну Олівію з пухлиною у мозку.

Львівські лікарі провели надскладну операцію двомісячній дитині

Львівські лікарі провели надскладну операцію двомісячній дитині / © unsplash.com

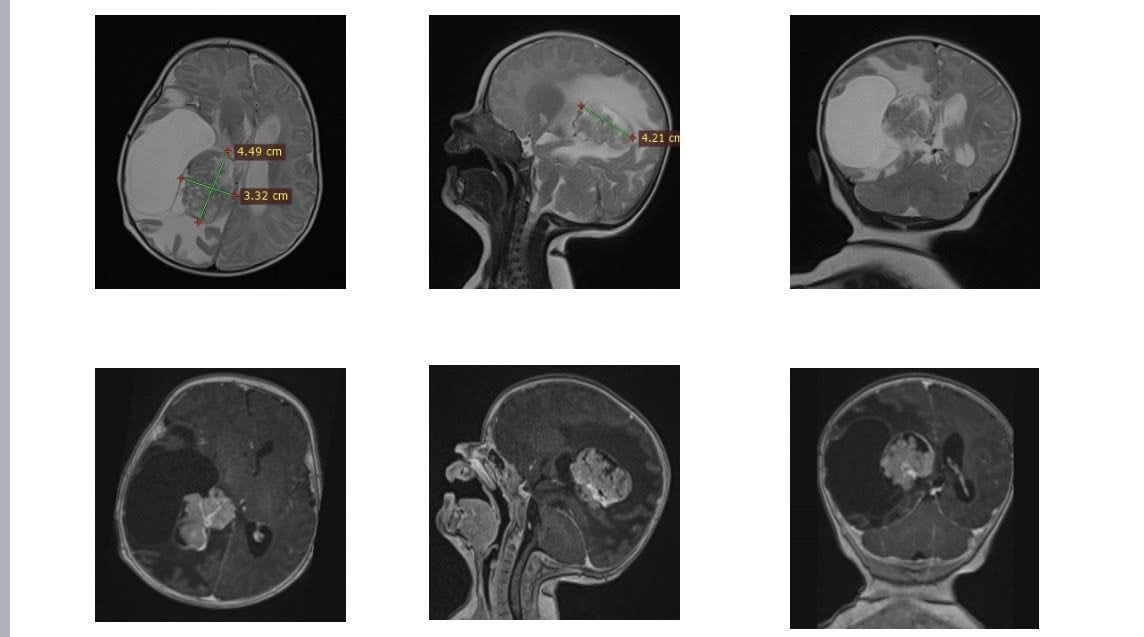
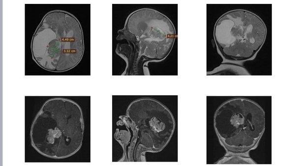
У Львові медики видалили пухлину у правому боковому шлуночку мозку двомісячної дитини.

Про це повідомляє Західноукраїнський спеціалізований центр дитячої медицини, де і провели операцію.

У двомісячної Олівії з Рівного виявили пухлину у правому боковому шлуночку мозку. Дитина потребувала складного нейрохірургічного втручання.

Команда нейрохірургів успішно провела операцію: новоутвір вдалося повністю видалити, зберігши життя та здоров’я дитини.

За словами медиків, видалення пухлини у такої малесенької пацієнтки (а на той момент Олівія важила близько 6 кг) саме по собі є надзвичайно ризикованим.

«Утворення розташовувалося в зоні судинного сплетення з високим кровопостачанням, а отже, з високим ризиком значної крововтрати. До того ж пухлина була близько до ділянки, відповідальної за рухи. Тому операція вимагала максимальної точності та ретельної підготовки», — розповів керівник Клініки дитячої нейрохірургії Михайло Ловга.

Перед хірургічним втручанням медики підготували запас крові, спеціальні гемостатичні матеріали, а також попереджено суміжних фахівців, які могли знадобитися у разі масивної кровотечі.

«Це була зовсім не типова, м’яко кажучи, операція з видалення пухлини», — зазначив Михайло Ловга.

Втручання тривало довше, ніж зазвичай: лікарям доводилося поетапно зупинятися, контролюючи крововтрату, та надзвичайно обережно видаляти утвір, щоб не пошкодити рухові зони мозку. Такі операції можливі лише за наявності інтраопераційного моніторингу та злагодженої роботи висококваліфікованої команди — нейрохірургів, нейрофізіологів, анестезіологів і операційних медсестер.

За словами мами маленької Олівії, донечка уже добре їсть, смокче кулачки, агукає та багато сміється.

«Усі навички, які були до операції, повернулися, а також з’явилися нові, відповідно до віку. Ми безмежно щасливі й вдячні лікарям за врятоване життя нашої донечки», — ділиться емоціями молода мама.

Нагадаємо, що у Львові провели унікальну операцію на серці 74-річному пацієнтові.

Коментарі
Сортувати:

Наступна публікація

Я дозволяю TSN.UA використовувати файли cookie